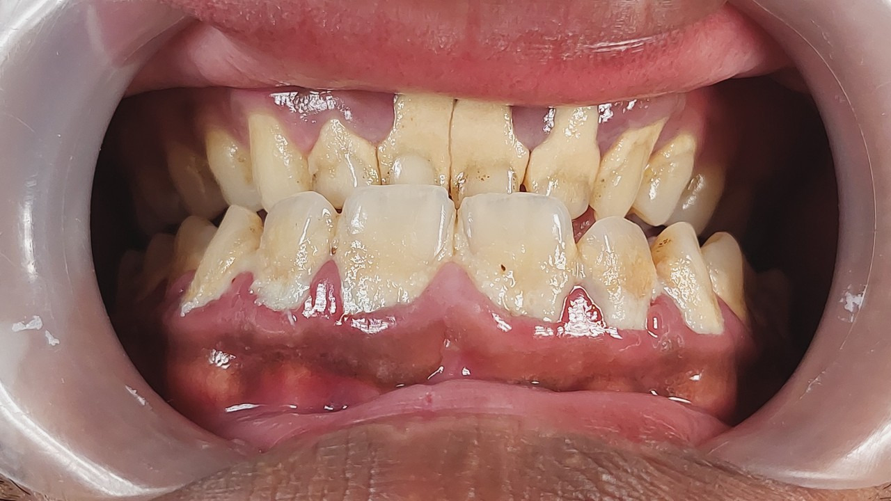
Saat membahas mengenai kesehatan area mulut, karang gigi dan bau mulut merupakan dua masalah yang sering menjadi keluhan masyarakat. Meskipun terlihat sederhana, dua masalah tersebut dapat memberikan dampak besar terhadap kesehatan dan kepercayaan diri seseorang. Banyak orang mengeluh ketika berbicara dengan seseorang yang memiliki bau mulut, hal tersebut mengganggu kenyamanan orang lain dan menimbulkan presepsi. Sedangkan banyak orang yang sedang memiliki masalah karang gigi dan bau mulut tidak tahu apa yang harus dilakukan. Oleh karena itu kami memberikan edukasi untuk memahami penyebab, dampak, dan cara mengatasi masalah ini, yaitu dengan cara scaling.

Scaling merupakan prosedur membersihkan plak dan karang gigi yang tidak bisa di hilangkan hanya dengan sikat gigi maupun obat kumur, scaling perlu tindakan yang membutuhkan alat dan ahli professional. Plak Gigi : berasal dari sisa makanan yang menempel di permukaan gigi. · Mengandung bakteri Streptococcus (penyebab gigi berlubang), Lactobacillus (kerusakan enamel gigi), Mengandung bakteri Actinomyces (membentuk plak dan kaeries). · Berdampak pada gigi berlubang (karies), radang gusi (gingivitis) Karang Gigi : plak yang mengeras akibat pengendapan mineral dari air liur. Mengandung bakteri Porphyromonas Gingivalis (penyakit gusi) ·

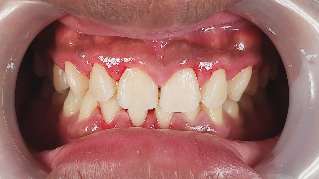
Berdampak pada peradangan gusi dan bau mulut karena bakteri Fusobacterium Dengan permasalah diatas, scaling adalah perawatan yang paling tepat untuk dilakukan, berikut ini adalah prosedur Scaling :
1. Pemeriksaan Gigi : dokter akan memeriksa sebanyak apa karang gigi yang menempel
2. Pembersihan Karang Gigi : dokter akan menggunakan alat ultrasonic untuk mengikis karang
3. Polishing : gigi dipoles menggunakan pasta khusus untuk menghilangkan sisa dan menghaluskan permukaan
4. Edukasi : memberikan edukasi untuk merawat gigi agar karang tidak terbentuk kembali Tentunya, Scaling memiliki banyak manfaat untuk diri sendiri dan tidak mengganggu aktifitas kita.

Manfaat Scaling Untuk Kesehatan Gigi :
1. Mencegah penyakit Gusi (Gingivitis) dan (Periodontitis)
2. Menghilangkan bau mulut
3. Mengurangi resiko gigi berlubang
4. Meningkatkan kebersihan gigi dan mulut Selain scaling, ada beberapa hal yang dapat dilakukan untuk mencegah dan merawat gigi agar lebih sehat :
1. Sikat gigi dua kali sehari
2. Berkumur dengan obat kumur antiseptik
3. Menghindari makanan manis. Saat ini, sudah banyak dental care atau praktek dokter gigi yang melayani pelayanan scaling gigi, tentunya dengan fasilitas dan harga yang variatif.

Salah satu rekomendasi dental care Solo Raya yang memberikan pelayanan terbaik dalam perawatan scaling dengan harga terjangkau dan kualitas unggul dan selalu memberikan edukasi kesehatan gigi adalag Gigigo Dental Care. Gigigo dental care sudah tersebar di berbagai wilayah di area Solo Raya sehingga lebih mempermudah masyarakat terutama area Solo Raya untuk mendapatkan pelayanan scaling gigi.
Adapun beberapa cabang Gigigo Dental Care antara lain : · Solo (+62 857-6761-0001) · Sukoharjo (+62 813-8080-7701) · Karanganyar (+62 823-1113-3800) · Kudus (+62 812-3487-4100) · Sragen (+62 812-3487-1800) · Boyolali (+62 852-2008-7300) Jika Anda memiliki masalah karang gigi, Gigigo dengan senang hati akan melayani Anda. Kunjungi : https://klinikgigigo.com/promoscaling untuk mendapatnya informasi lebih lengkap.

